診療案内

治療に入る前にしっかりお話を伺い、治療方法・治療計画についてご説明させていただきます。そしてなるべく痛くないように、なるべく削らないように、必要最小限の治療を心がけています。来院者に安心していただけるよう、スタッフは、セミナー、勉強会、学術大会等に参加し、そこで得た知識や技術を患者様にフィードバックできるよう心掛けています。

体に優しい、良質の医療を目指し邁進します。お口の健康を通じ皆様の人生に携わって生きたいと思っています。

《 一般歯科・予防歯科 》

歯周病予防

歯周病(歯槽膿漏や歯肉炎)の予防には、歯垢を取り除き、歯肉をマッサージすることが大切。 そのためには、歯と歯の間を毛束の少ない歯ブラシを使って歯を磨く「つまようじ法」が効果的です。

入れ歯・ブリッジ

歯を失ったときの選択肢としては、義歯(入れ歯)、ブリッジ、インプラントなどがあります。 それぞれのメリット、デメリットを比較し症状にあった治療を選択してください。

定期検診・メンテナンス

歯を失う2大原因は虫歯と歯周病です。 どちらも予防方法はほぼ確立され、私たちの生活習慣をそれに合わせていくことで防ぐことができます。

お子様の学校検診も行っております。



《 審美歯科 》

白い歯「ホワイトニング」

歯のホワイトニングとは、黄ばんでいる歯を白くする治療法です。 歯の表面の汚れ(茶渋やヤニ)などは、歯のクリーニングで落とします。 当歯科医院では、ご自宅で行うホームホワイト二ングを行っています。

歯が無い場合の治療

インプラントは、失ってしまった歯の替わりに、 人工の歯根をアゴの骨に埋め込み、人工の歯を取り付ける治療です。定期的なメンテナンスが必要ですが、長持ちしてしっかりと噛むことが出来ます。

銀歯を短期間で白く

新しいセラミック治療が「セレック審美治療」です。 今まで歯科技工士が1つずつ手作りしていた歯の修復物をコンピューター制御によって作成。数日でのセラミック治療も可能な場合があります。ご相談ください。

ジェットクリーニング

生活習慣により、歯にこびりついた茶渋・ヤニ・着色などは歯磨きだけでは落とせません。ジェットクリーニングは、 塩パウダーを水・エアーと一緒に 歯面に吹きかけ着色やヤニを 一気に吹き飛ばします。



《 歯列矯正 》

見えない矯正

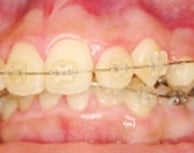
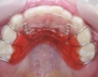
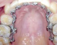
人目が気になる方におすすめの方法です。 歯の裏側からのブラケット矯正で、他人に気付かれずに治療することができます。 歯の裏側に矯正装置を装着し歯列矯正します。

目立たない矯正

装着していてもほとんどわからない、 透明なマウスピース型の目立たない矯正装置を使う方法です。
東風会ではインビザラインシステムを導入しています。

ブラケット矯正

歯の表側に「ブラケット」という矯正装置を取り付け、 ワイヤーを使って歯を動かしてきます。 メリットは「確実性が高い」「微調整が簡単に行える」「料金も安く済む」 という点。

歯を抜かない小児矯正

歯取り外しのできる矯正装置です。(※8~12歳ぐらいに使用)。 抜歯せず自宅で装置のネジを回してあごの骨を徐々に広げていきます。成人してから矯正をするよりも価格も安く済みます。



《インプラント》

歯を失ってしまうと、見た目が気になるだけでなく、「うまく食事ができない」「うまく話せない」「歯並びが悪くなる」など、さまざまな問題が起こります。失ってしまった歯の代わりとして、今までは、ブリッジ、取り外し式の入れ歯などが利用されてきました。

しかし、健康な隣の歯を削らなければならない、固い食べ物は食べられない、などの問題がありました。

インプラントは、失ってしまった歯の替わりに、人工の歯根をアゴの骨に埋め込み、人工の歯を取り付ける治療です。

今までのブリッジや入れ歯の治療と違い健康な歯を守り、自分の歯と同じように硬いものをしっかりと噛めるようになります。


ご不明な点、ご質問等ありましたら、遠慮なくスタッフまでお問合せください