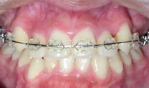
歯の表側に「ブラケット」という矯正装置を取り付け、ワイヤーを使って歯を動かしてきます。
(※歯が生え揃った中学生以上の方に適用)。
この方法のメリットは
「確実性が高い」・「微調整が簡単に行える」・「料金も安く済む」という点。
デメリットとしては、
「矯正装置が目立つ」・「使用する針金やゴムに違和感や不快感を感じる」・「口内炎になることがある」
ということがあげられますが、最近では目立たないプラスチック製のブラケットもあります。
また、装置の違和感は一週間ほどで徐々に慣れる上、痛みや口内炎予防のためのワックスで軽減することができます。
金属でできているブラケットです。
金属のため、表からは銀色になります。金属アレルギーの方は向いていません。
メリット:壊れにくい、滑りが良い
デメリット:色が目立つ
プラスチックでできているブラケットです。 噛み合わせによっては磨り減ったり、ワイヤーの力に負けてしまう場合もあります。
メリット:目立ちにくい、滑りが良い
デメリット:変色する、磨耗しやすい
セラミックでできているブラケットです。
半透明で歯の色に近く目立ちません。歯よりも硬いため、歯に当たると歯の方が削れてしまうことがあります。
メリット:目立ちにくい
デメリット:壊れやすい、欠けることがある。
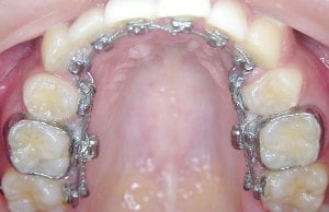
歯の裏側からのブラケット矯正で、他人に気付かれずに治療することができます。
歯の裏側に矯正装置を装着し歯列矯正します。ただし、舌に触れる違和感を感じる人もおり、歯磨きに時間がかかるなど難点もあります。
費用は通常の矯正装置より割高になります。
メリット:表側から見えない
デメリット:慣れるまでは、発音しにくい、費用が割高
上の歯だけをを裏側矯正(舌側矯正)にし、下は表側の矯正で治療する方法もあります。
笑った時などに、よく見える上の歯だけを裏側矯正にすることで、価格を抑えて目立たない矯正を行えます。